Philips Digital PET/CT scanner and D-SPECT

Gewinner
Contest winning design

Wollen Sie auch einen Job wie diesen gewinnen?

Dieser Kunde bekam 22 Werbung-Designs von 5 Designern. Dabei wurde dieses Werbung-Design Design von IG Creative Solutions als Gewinner ausgewählt.

Kostenlos anmelden Design Jobs finden

  • Abgeschlossen - Design ausgewählt
  • Garantiert

Werbe-Design Kurzbeschreibung

Please note this brief has been extended with additional work as described below at ***.

Philips Healthcare is a supplier of medical imaging equipment worldwide. In Australia our company represents them exclusively. Philips have a new product coming to market that revolutionises PET (positron emission tomography) scanning. These "cancer" scanners are now made as PET/CT scanners, performing both a PET and CT scan on the patient at the same time. The concept is to show a timeline of innovation in PET, where Philips is majoratively featured. The message being portrayed is that Philips is the technical innovator and is continuing to revolutionise the space.
The file uploaded include some timeline points, and sone logos and images of the scanner as well as an image of the revolutionary digital chip used in the scanner. Background in the scanner can be found at Philips website on the link www.healthcare.philips.com/us_en/clinicalspecialities/radiology/solutions/vereos.html.
The design needs to also be able to be enlarged to allow for the same format on an A4 ad as well as a drop down banner, 2000 x 875mm.Our company logo, InSight Oceania Pty Ltd, is also included as we are the exclusive distributor in Australia and New Zealand.
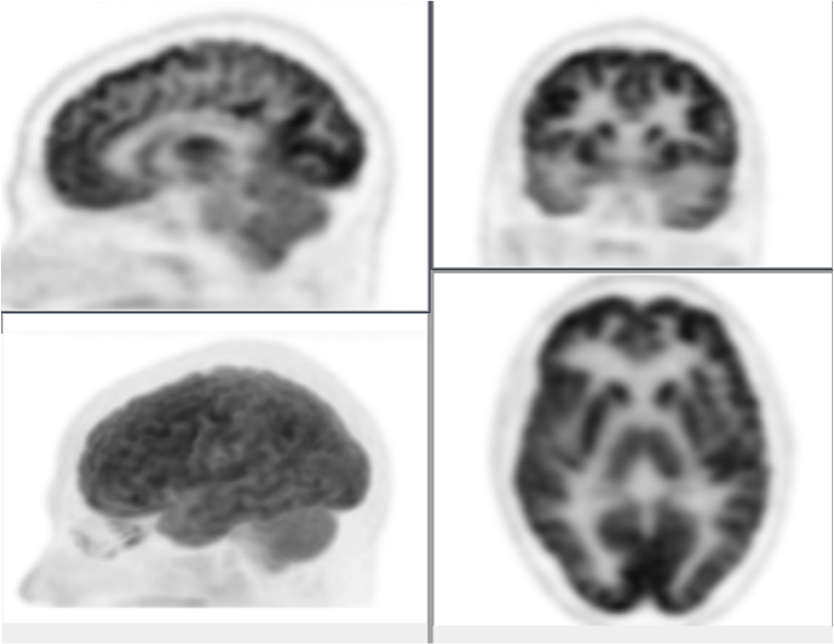
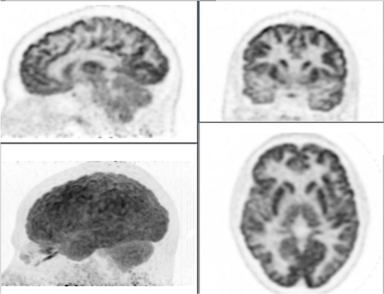
Included in the files are 2 pairs of brain scans. These represent the two comparisons between an older analogy technology and the breakthrough new digital technology from Philips.

The design must be clean, to the point. Not all images are required on the design, there is a selection so that the designer can choose different approaches if they wish.

*** AN addition element to this project has been added and is described below.

To provide a design and associated files that can be be used for an A4 print ad as well as a pull up banner display featuring a Spectrum Dynamics D-SPECT nuclear medicine scanner. The design should mirror closely final the first part of this scope, to provide continuity and appearance.
For the A4 advert the following is required.
Artwork requirements – full colour.
Program Specs (A4 Print)
Trim size: 297mm h x 200mm w (A4)
Type margin size: 277mm h x 190mm w (please keep all text within 10mm from trim edge)
Bleed size: 307mm h x 220mm w

The banner should be designed to be printed for a pull up banner with a finished size of 2000mm (h) x 875mm (w).

Files include will be:

An .ai file called DS-Tabletop-23Apr13 will be proved as an a drop box link. The URL is https://www.hightail.com/download/elNKVWRzNDJ6RThVV01UQw
This file will contain the following objects to be used in the requested design. A logo for SPECTRUM Dynamics. An images of the D-SPECT machine with a patient in place. Some clinical images. The images to be used are the images labelled “D-SPECT and A-SPECT, the right hand 2 images (of 3) just under the scanner picture. The placement of the images and logo are to mirror then placement of the images and logo in the first part of this project.

A supplier logo with be provided for prominent placement at the top of the advertisement and our company logo, InSight (as exclusive distributor of the technology) will be display with our contact details at the bottom of the ad.
The ads will clearly state:
Distributed exclusively by InSight (our logo)
56 Bourke Rd Alexandria NSW 2015 Australia
Ph +61 2 9698 0506 fax +61 2 9699 5386
Toll Free AU 1 800 228 118 Toll Free NZ 0 800 441 994

A "timeline" should be included featuring the following events:

2005 D-SPECT first shown to Diagnostic Imaging Market at RSNA in Chicago
2006 Spectrum receives 510K from FDA
2007 Mult-Center Trial completed at four US University's
2008 Commercial Shipments of D-SPECT begin
2010 Spectrum introduces Ultra Low Dose imaging protocols
2011 Spectrum introduces D-SPECT L
2012 Spectrum introduces simultaneous multi isotope imaging
2013 Spectrum introduces Coronary Flow Reserve imaging protocol
2013 Spectrum ships 100th D-SPECT system


The name of the scanner should be displayed in an aesthetically sensitive manner over or next to the image of the scanner. This should mimic the Vereos type and look and should read “The world’s first Ultra Low Dose digital SPECT" "D-SPECT Cardiac imaging platform"
The tagline " Redefining Nuclear Imaging that starts with YOU" should be included with the following text:
Spectrum Dynamics provides more than just better imaging, we provide a breakthrough approach to every component of the imaging process. The need to reduce radiation exposure to patients and medical personnel has always been Spectrum’s goal since its introduction of the D-SPECT. This next generation solid-state-digital detector technology has the unique capability to count up to 10X the speed of a conventional Anger camera thus drastically reducing imaging time or significantly reducing the injected dose, saving costs and at the same time reducing the radiation burden to the patient. Step into our DIGITAL world today.

Info-Symbol
Aktualisierungen

Timeline events as referenced in the brief are as follows:


1994Block detector invented by Scanditronix

19981st Wholebody 3D PET scanner: Philips

20011st commercial PET/CT scanner: CTI

20011st pixelated flat plate detector: Philips

20011st continuous light pipe on PET scanner:Philips

20041st 3D reconstruction for PET: Philips

20061st commercial ToFPET/CT scanner: Philips

20081st Big Bore (85cm+) PET/CT scanner: Philips

20111st sub 500 pico sec Time of Flight: Philips

20131st and only DIGITAL PET/CT scanner


Added Friday, February 28, 2014

Please note the following with respect to the A4 advertisement.

Artwork requirements – full colour.

 

Program Specs (A4 Print)

Trim size: 297mm h x 200mm w (A4)

Type margin size: 277mm h x 190mm w (please keep all text within 10mm from trim edge)

Bleed size: 307mm h x 220mm w


Added Wednesday, March 05, 2014

Zielmarkt/( -märkte)

Target market is Hospitals and private clinics performing nuclear medicine procedures.

Industrie/Einheitstyp

Medical


Sehen und fühlen

Jeder Schieber zeichnet eine der Charakteristiken der Marke des Kunden aus sowie den Stil, den euer Logo widerspiegeln sollte.

Elegant
Fett
Spielerisch
Ernst
Traditionel
Modern
Sympatisch
Professionell
Feminin
Männlich
Bunt
Konservativ
Wirtschaftlich
Gehobenes

Dateien
Alle Dateien herunterladen - 24,9 MB
AI
AI
JPG
EPS
EPS
JPG
EPS
Philips Friday, 28 February 2014 05:02:52
Freitag, 28. Februar 2014
AI
philips Friday, 28 February 2014 05:04:06
Freitag, 28. Februar 2014
PNG
Analog2 Friday, 28 February 2014 05:11:38
Freitag, 28. Februar 2014
PNG
digital Friday, 28 February 2014 05:11:41
Freitag, 28. Februar 2014
PNG
Analog Friday, 28 February 2014 05:12:55
Freitag, 28. Februar 2014
TIFF
Zahlungen
1. Platz
A$560
Zahlung fürs mitmachen x 2
A$20
Gesamt
A$600

Projekt-Deadline
14 Mrz 2014 05:18:32 UTC
Language

Werbe-Design Inspiration
Hostel advertisement design, Event advertisement design, Hospital advertisement design, Wedding planner advertisement design, Surfboard advertisement design, Hotel advertisement, Nutritionist advertisement design, Dental advertisement design, Restaurant advertisement design, Building advertisement design